>
커뮤니티

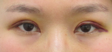
수술전후사진

Total 98 [ 1 / 7 Page]

Search


1:1 맞춤형 상담으로
당신이 꿈꾸는 얼굴을 찾아드립니다.

  • 이름
  • 연락처
  • 분야
  • 개인정보수집 및 이용 동의
  • 카카오톡
QR 코드